Quiz Form

Question Date: 03/11/2023


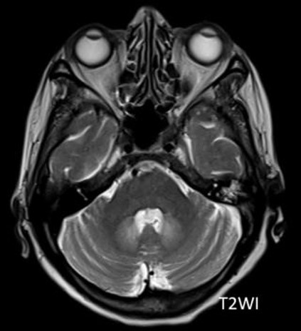
Question: A 56-year-old man with a history of treated liver abscess 1 month ago presents with vertigo, gait ataxia and tremors. MRI is as shown below. What is the diagnosis?


Options:

  • Brain Abscess
  • Post infectious demyelination
  • Metronidazole toxicity
  • FXATS


Correct Answer: Metronidazole toxicity


Explaination: Metronidazole is well known to cause brain toxicity irrespective of the dose and duration of intake<br>Neurologic toxicity has been reported, especially if the dosage exceeds 2 grams per day for a prolonged period or if the cumulative dose exceeds 20 gramsIn<br> an acute setting, metronidazole toxicity typically presents with cerebellar dysfunction (75% of cases), confusion and altered sensorium (33%), and seizures (13%). On MR imaging, 93100% of cases show involvement of the cerebellum, particularly at the dentate nuclei regions<br>The corpus callosum, midbrain, pons, and medulla are among the less-involved locations.


Reference: -