Quiz Form
Quiz Form
Quiz Listing
Edit Question
1
2
3
Question Date
*
Please select a valid date.
Question
*
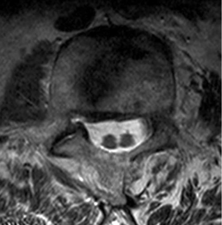
The MRI of lumbar spine shown below shows which abnormality?
Explanation
*
Diastematomyelia is a congenital anomaly of the spine characterized by the splitting of the spinal cord or cauda equina at the extent of one or few vertebra. It has been suggested that the cause of this anomaly is the presence of a connection between the neural tube and amniotic cavity or primitive bowel
Explanation Image Upload:
(JPG / JPEG / PNG Upto 2 MB only)
Reference
*
Stephen Chapman, Richard Nakielny. Aids to Radiological Differential Diagnosis. (2009)
Reference Image Upload:
(JPG / JPEG / PNG Upto 2 MB only)
Question Image Upload:
(JPG / JPEG / PNG Upto 2 MB only)
Previous Image:
Image_202311061326406548e9900c59d.jpg
Video Upload:
(MP4 / Upto 10 MB only)
Option 1
*
Is Correct (Option 1):
Synringomyelia
Option 1 Image Upload:
(JPG / JPEG / PNG Upto 2 MB only)
Option 2
*
Is Correct (Option 2):
Tethered cord
Option 2 Image Upload:
(JPG / JPEG / PNG Upto 2 MB only)
Option 3
*
Is Correct (Option 3):
Diastematomyelia
Option 3 Image Upload:
(JPG / JPEG / PNG Upto 2 MB only)
Option 4
*
Is Correct (Option 4):
Congenital spinal stenosis
Option 4 Image Upload:
(JPG / JPEG / PNG Upto 2 MB only)