Quiz Form

Question Date: 12/11/2023


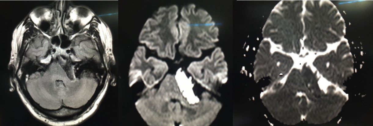
Question: 50yrs lady presented with gradual onset ataxia and left ear hearing loss. MRI is shown below. The likely diagnosis is:


Options:

  • Acoustic schwannoma
  • Epidermoid cyst
  • Enplaque meningioma
  • Neurocytoma


Correct Answer: Epidermoid cyst


Explaination: Epidermoids are often indistinguishable fromarachnoid cystsor dilated CSF spaces on many MR sequences, except for DWI/ADC which helps to differentiate them<br>T1 usually isointense to CSF<br>T1 C+(Gd) thin enhancement around the periphery may sometimes be seen<br>T2 usually isointense to CSF (65%)<br>FLAIR often heterogeneousdirty signal higher than CSF<br>DWI/ADC: very bright on DWI<br>- similar ADC values compared to adjacent brain parenchyma<br>- useful for differentiation from arachnoid cysts due to increased signal (due to a combination of abnormal restricted diffusion andT2 shine through), which is not seen with arachnoid cysts


Reference: Grossman RI, Yousem DM. Neuroradiology, the requisites. Mosby Inc. (2003)