Quiz Form

Question Date: 14/11/2023


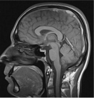
Question: A 23-year-old female presents to the clinic for evaluation of a headache. She is currently 14 weeks pregnant. She complains of a holocephalic headache for the last week, which is worsening in intensity. The headache is worse at night and causes blurry vision.Her neurological examination is remarkable for bilateral papilledema. The sagittal T1 magnetic resonance image (MRI) is shown here. Which of the following is the most likely diagnosis?


Options:

  • Pseudotumor cerebri
  • Meningioma
  • Venous sinus thrombosis
  • Preeclampsia


Correct Answer: Venous sinus thrombosis


Explaination: Pregnant patients are at higher risk of VST because pregnancy creates a hypercoagulable state often worsened by dehydration. MRI and magnetic resonance venography are the first-line tests for determining whether there is a VST because both can be done without contrast. The provided image is a non-contrast T1-weighted image. This demonstrates a hyperintense T1 signal in the sagittal sinus and the great vein of Galen, which is consistent with an acute VST.


Reference: Journal of Stroke and Cerebrovascular Diseases 21(1) 7577