Quiz Form

Question Date: 25/11/2023


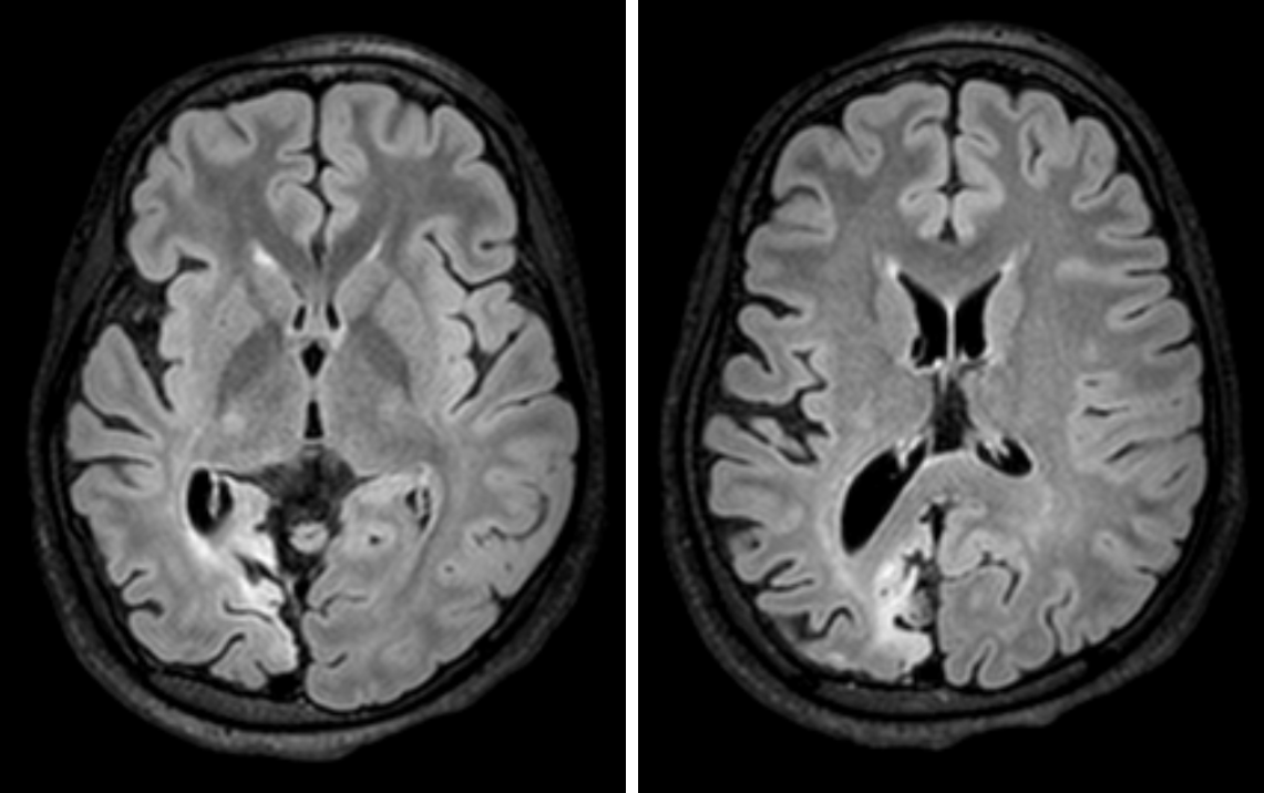
Question: A 6-year-old girl presents with involuntary jerking movements of her left leg followed by left arm since past 2 years. She had several episodes of this that would last for hours before stopping spontaneously and had no major response to levetiracetam. In the last 2 weeks, the patients mother has noted that she seems unaware during parts of these episodes and may have had twitching of the left side of her face. Electroencephalogram reveals right hemispheric spikes. A magnetic resonance image (MRI) of her brain is shown. Which of the following is the best treatment for this condition?


Options:

  • Carbamazepine
  • Hemispherectomy
  • Vagal nerve stimulator
  • Intravenous (IV) immunoglobulin


Correct Answer: Hemispherectomy


Explaination: This is a case of Rasmussen encephalitis. This commonly presents with focal motor seizures, which can last for extended periods. Eventually these seizures progress to involve contiguous structures and later generalized seizures as well. <br>Typically, epileptic discharges come from one hemisphere.<br>Imaging can show atrophy of the affected hemisphere, as is shown in the MRI. Positron emission tomography will show hypometabolism of the affected hemisphere.<br>Although some patients respond to IV immunoglobulin, the definitive treatment is hemispherectomy. Carbamazepine is good for partial-onset seizures and may be used in patients with Rasmussen encephalitis but will not adequately control seizures.


Reference: Bradleys NiCP, 7th edn, Ch. 101