Quiz Form

Question Date: 26/11/2023


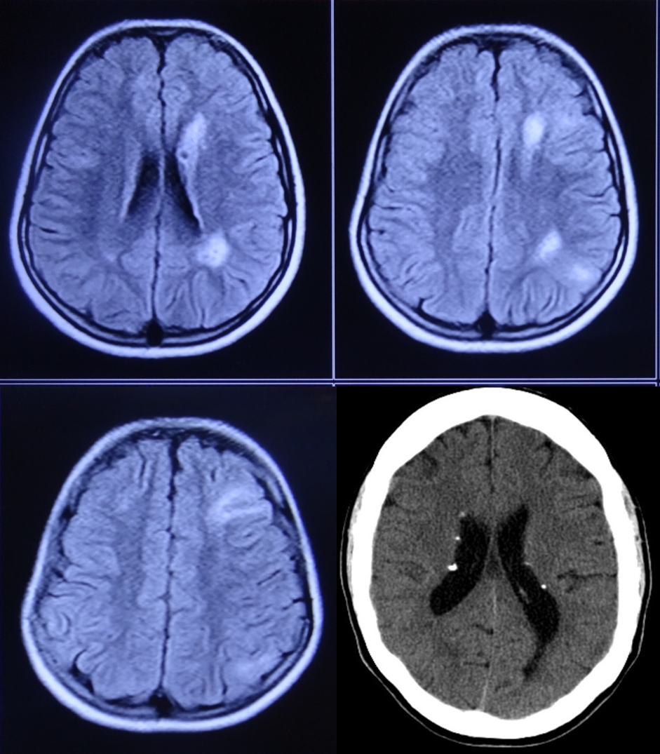
Question: A 36yrs lady with refractory epilepsy, failed multiple ASMs, shows following imaging findings.What are the further treatment options?


Options:

  • Valproate
  • Everolimus
  • Thermo-ablation
  • All of the above


Correct Answer: All of the above


Explaination: Tuberous sclerosis:<br><br>Epilepsy occurs in 70% to 90% of patients, typically beginning in the first year of life<br>Refractory epilepsy is diagnosed in half of individuals with TSC and is predictive of development of intellectual disability<br>Introduction of an antiepileptic treatment during epileptogenesis and before the start of clinical seizures may prevent epilepsy onset and lead to a reduction in drug-resistant epilepsy<br>Everolimus proves as a add on treatment with response rate of 33% even at later age, without any age limit to individual benefit<br>Evaluation for epileptogenic tubers with FDG PET CT brain, if required SEEG for suspected lesions, followed by resectionThermoablation


Reference: -