Quiz Form

Question Date: 11/12/2023


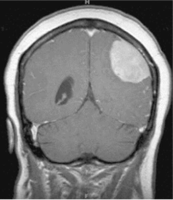
Question: A 58-year-old man presents with a 2-months history of gradually progressive right hemiparesis. A contrast-enhanced magnetic resonance image of the brain is shown here. What is the most likely diagnosis for the lesion shown?


Options:

  • Meningioma
  • Glioblastoma
  • Central nervous system (CNS) lymphoma
  • Metastasis


Correct Answer: Meningioma


Explaination: The image demonstrates a meningioma arising from the left parietal convexity. The most telling characteristics of the image include the intense bright, homogeneous enhancement pattern, the extra-parenchymal location, and the dural tail at the superior margin.


Reference: -