Quiz Form

Question Date: 18/12/2023


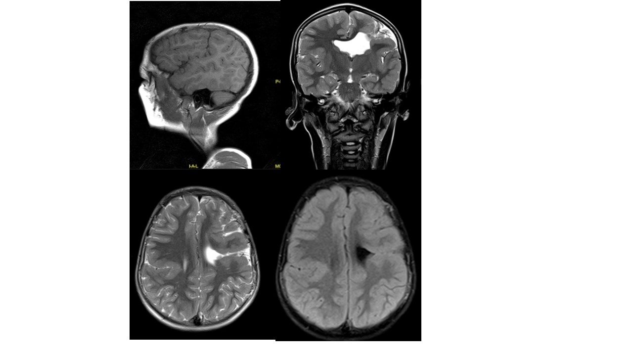
Question: Name the anomaly seen in the MRI here:


Options:

  • Heterotopia
  • Lissencephaly
  • Schizencephaly
  • Polymicrogyria


Correct Answer: Schizencephaly


Explaination: Right side Closed lip schizencephaly (Type- I) not communicating with the ventricular system<br><br>Left side open lip schizencephaly (Type- II) communicating with the ventricular system<br><br>The defect is characterized by the presence of a cleft in the brain extending from the surface of the pia mater to the cerebral ventricles. The margins of the cleft are lined with heterotrophic, dysplastic gray matter. The most common location of the anomaly is the frontal lobe and the region of the lateral sulcus


Reference: Neto, H. Bilateral schizencephaly (open and closed lip). Case study, Radiopaedia.org.https://doi.org/10.53347/rID-52574