Quiz Form

Question Date: 04/02/2024


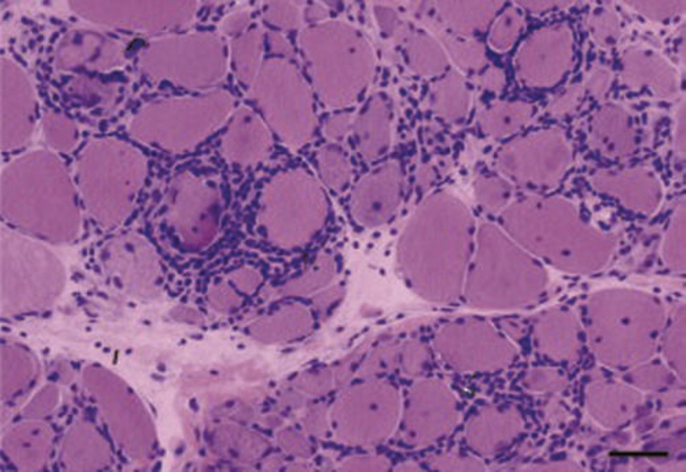
Question: A 40-year-old woman underwent muscle biopsy for progressive weakness, among other symptoms. Which of the following is her most likely diagnosis based on the image shown?


Options:

  • EmeryDreifuss muscular dystrophy
  • Dermatomyositis
  • Polymyositis
  • Conversion disorder


Correct Answer: Polymyositis


Explaination: The image demonstrates endomysial lymphocyte infiltration indicative of polymyositis. This pattern is in contrast to dermatomyositis, where biopsy shows perifascicular inflammatory infiltrate only. Emery Dreifuss muscular dystrophy is an X-linked disease that tends to affect boys between the ages of 5 and 15, with no inflammatory pathological findings, but with dystrophic features, including wide variation in fiber size and increased fibrous and adipose tissues. Inclusion body myositis is an inflammatory myopathy, with pathology showing vacuoles with basophilic granules


Reference: (Bradleys NiCP, 7th edn, Ch. 110, pp. 19151955)