Quiz Form

Question Date: 12/02/2024


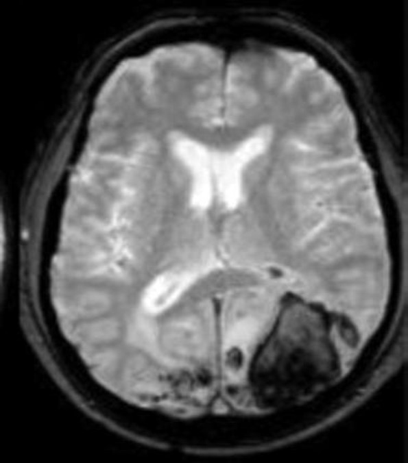
Question: An 83-year-old man with cognitive decline presents with altered mental status. The patients vital signs are normal and there has been no recent illness or fever. His laboratory tests (including coagulation profiles) are largely unremarkable and show no electrolyte abnormalities or infection. Which of the following is the most likely cause of the finding shown?


Options:

  • Cerebral amyloid angiopathy
  • Chronic hypertension
  • Arteriovenous malformation (AVM)
  • Subarachnoid hemorrhage


Correct Answer: Cerebral amyloid angiopathy


Explaination: The findings shown on this gradient echo sequence on magnetic resonance imaging (MRI) are consistent with cerebral amyloid angiopathy (CAA). CAA is a condition in which amyloid deposits in the media and adventitia of small and medium vessels. Although microhemorrhages are often seen on MRI, patients are often at increased risk of lobar hemorrhages. The risk of cerebral hemorrhage with either anticoagulation or antiplatelet agents is increased in this population. Caution must also be taken when using statins in this population, due to a slightly higher risk of bleeding. Chronic hypertension usually leads to bleeding in deepstructures of the brain such as the pons, basal ganglia, thalamus, or cerebellum. An AVM can be identified on this sequence on MRI, but usually shows a conglomeration of arteries and veins rather than small microhemorrhages. A subarachnoid hemorrhage usually follows the cortical convexity in the leptomeningeal space. A traumatic brain injury may result in contusion from a coup/contrecoup injury but usually is not associated with microhemorrhages.


Reference: (Bradleys NiCP, 7th edn, Chs. 66, pp. 968980 and 95, pp. 13801421