Quiz Form
Quiz Form
Quiz Listing
Edit Question
1
2
3
Question Date
*
Please select a valid date.
Question
*
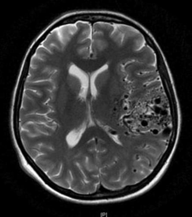
A 25-year-old woman presents with a history of left arm automatisms and lip smacking, followed by a generalized convulsion. Her history is also remarkable for recurring headaches previously attributed as migraines. An axial magnetic resonance image (MRI) is shown. Which of the following is considered the most likely diagnosis?
Explanation
*
AVMs are arteriovenous connections without capillary networks, usually with gliotic brain tissue within the AVM. These often present with hemorrhages, headaches, or seizures. Typically, AVMs are observed if unruptured, but several factors are taken into consideration when determining whether or not to intervene: age, surgical risk, location, gender, and lifetime hemorrhage risk. Treatment options include surgical resection, radiosurgery, endovascular embolization, or a multimodal approach (especially if >3 cm)
Explanation Image Upload:
(JPG / JPEG / PNG Upto 2 MB only)
Reference
*
Bradleys NiCP, 7th edn, Chs. 40, pp. 459485 and 56, pp. 758783
Reference Image Upload:
(JPG / JPEG / PNG Upto 2 MB only)
Question Image Upload:
(JPG / JPEG / PNG Upto 2 MB only)
Previous Image:
Image_2024013012201265b8e97c1ee9a.jpg
Video Upload:
(MP4 / Upto 10 MB only)
Option 1
*
Is Correct (Option 1):
Developmental venous anomaly
Option 1 Image Upload:
(JPG / JPEG / PNG Upto 2 MB only)
Option 2
*
Is Correct (Option 2):
Cavernous malformation
Option 2 Image Upload:
(JPG / JPEG / PNG Upto 2 MB only)
Option 3
*
Is Correct (Option 3):
Cerebral aneurysm
Option 3 Image Upload:
(JPG / JPEG / PNG Upto 2 MB only)
Option 4
*
Is Correct (Option 4):
Arteriovenous malformation
Option 4 Image Upload:
(JPG / JPEG / PNG Upto 2 MB only)