Quiz Form
Quiz Form
Quiz Listing
Edit Question
1
2
3
Question Date
*
Please select a valid date.
Question
*
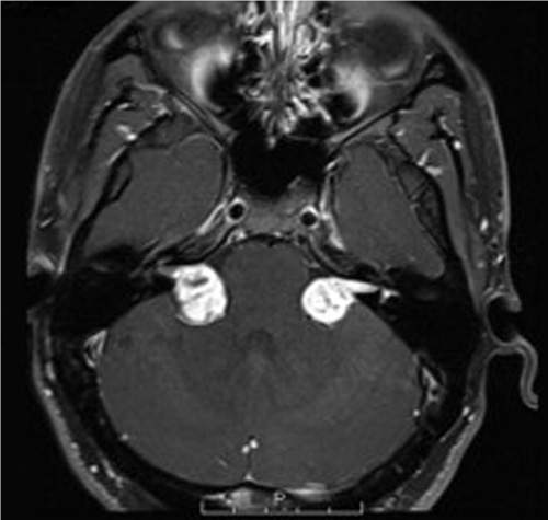
A 36-year-old man presents with a 1-year history of gradual bilateral hearing loss, a sense of aural fullness, and progressively impaired balance. He has a history of juvenile cataracts, and his brother and father have similar difficulties with their hearing. A brain magneticresonance image (MRI) with contrast is shown. Which of the following is the most likely cause of his symptoms?
Explanation
*
Taking into account the patients medical and family history, as well as the MRI, the most likely cause of his hearing difficulties is bilateral vestibular schwannomas. These are noted to have bright, fairly homogeneous enhancement, as well as the classical ice cream cone shape on MRI, with the cone represented by the enhancing portion of the tumor entering the internal auditory canal. Medulloblastoma is a tumor of the posterior fossa, generally involving the cerebellum, but is not bilateral or homogeneously enhancing. Therefore involvement of the internal auditory canals is not easily explained by this diagnosis. Leptomeningeal metastasis does often affect cranial nerves, such as the acoustic nerves, but would be rare to present so slowly or with such large tumor burden on MRI. Further, there is no leptomeningeal enhancement on MRI. Glioblastoma is exceedingly rare in the posterior fossa, and would not explain the internal auditory canal involvement or the enhancement homogeneity. Meningiomas are a reasonable consideration given the radiographic appearance, but the specific internal auditory canal involvement and lack of dural tail point away from this diagnosis. Also the positive family history suggests only vestibular schwannomas out of the available choices
Explanation Image Upload:
(JPG / JPEG / PNG Upto 2 MB only)
Reference
*
(Bradleys NiCP, 7th edn, Ch. 100, pp. 15381562).
Reference Image Upload:
(JPG / JPEG / PNG Upto 2 MB only)
Question Image Upload:
(JPG / JPEG / PNG Upto 2 MB only)
Previous Image:
Image_2024021511091665cdf0dc0fff0.png
Video Upload:
(MP4 / Upto 10 MB only)
Option 1
*
Is Correct (Option 1):
Medulloblastoma
Option 1 Image Upload:
(JPG / JPEG / PNG Upto 2 MB only)
Option 2
*
Is Correct (Option 2):
Leptomeningeal metastases from unknown primary tumor
Option 2 Image Upload:
(JPG / JPEG / PNG Upto 2 MB only)
Option 3
*
Is Correct (Option 3):
Bilateral vestibular schwannomas
Option 3 Image Upload:
(JPG / JPEG / PNG Upto 2 MB only)
Option 4
*
Is Correct (Option 4):
Glioblastoma
Option 4 Image Upload:
(JPG / JPEG / PNG Upto 2 MB only)